- 豊富な経験と専門性に優れた矯正歯科専門のクリニック
- 精度の高い矯正治療をおこなうための先進の設備
- 年間151症例数以上のダイヤモンド・プロバイダー
- 「小田原」駅徒歩3分土日診療で通いやすい
- 徹底した衛生管理による院内感染予防
豊富な経験と専門性に優れた矯正歯科専門のクリニック
当院は、矯正治療に特化したクリニックとして、透明なマウスピース矯正や目立ちにくいワイヤー矯正、小児矯正など、幅広い治療法を提供しています。患者さん一人ひとりに合った治療プランで、美しい笑顔と健康的な歯並びを実現します。
また、口腔外科医が在籍しており、矯正に伴う抜歯や親知らずの抜歯などの外科処置にも対応可能です。痛みや腫れを最小限に抑えた安全な治療を行い、安心して通院いただける環境を整えています。さらに、1階には一般歯科を併設しており、矯正治療と併せて総合的な口腔ケアを一貫して受けることができます。
患者さんのご希望に沿った治療方針
小田原駅前矯正歯科では、患者さんのご希望を大切にした治療方針を採用しています。たとえ抜歯が適切とされるケースでも、患者さんがどうしても抜歯を望まない場合には、そのご希望に沿って矯正治療を進めます。
ただし、歯を抜かない選択には治療の制限が生じることがあり、その場合には抜歯をお勧めすることもございます。無理に歯を残して治療を進めると、仕上がりに問題が残る可能性があるため、治療方針を決定する際にはこれらの点をご理解いただくことが大切です。
精度の高い矯正治療をおこなうための先進の設備
理想の矯正治療ためには、患者様ご自身のご協力が矯正治療には欠かせません。
しかし、患者様が頑張ってくださっても、その道筋となる歯科医師による診断・予測・治療計画がきちんとできていないのでは理想とするゴール地点には辿り着くことができません。
矯正治療において最も重要となる的確な診査・診断のために、当院では先進の設備を積極的に導入し、口腔内写真、顔面写真、CTレントゲン撮影など三次元的な検査を行い、矯正診断ソフトを用いた診断を行っております。
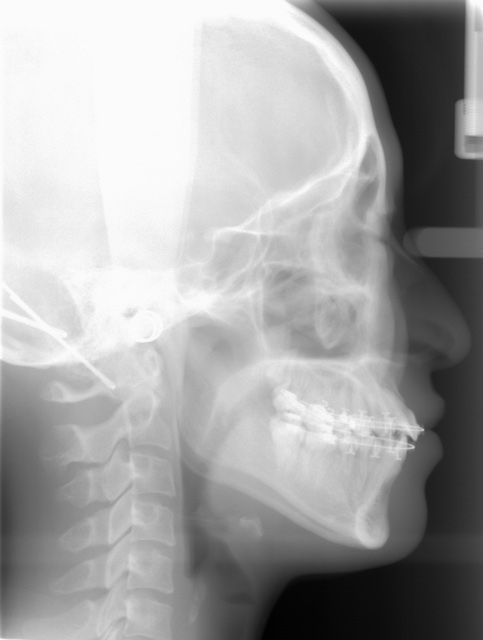
セファロレントゲン(頭部X線規格写真)
一定の規格に基づいて撮影されるレントゲンのことをセファロレントゲン(頭部X線規格写真)といいます。 長期間に及ぶ矯正治療では必要不可欠なものであり、噛み合わせの状態や顔の骨格を調べるだけでなく初診検査時から治療中や治療後を正確に比較することが可能です。 当院では1.0秒以下でワンショット撮影が可能な機種を導入しておりますので、被曝量も低減され、患者様の体動による影響もないため快適な撮影が可能です。
パノラマレントゲン
上面からお口全体の歯列を撮影できるレントゲンです。
歯科用CT
CT撮影では、二次元のパノラマ・セファロレントゲンとは異なる三次元で立体的な解析が可能なため、より精確に状態を把握することができます。
矯正治療では、歯の見えている部分である「歯冠」を見ることで歯が動いているということを確認できますが、それは目に見えない部分である「歯根(歯の根)」が骨の中を移動した結果です。理想的な場所に歯を動かしたいと考えても、骨の中でなければ歯根は上手く動いてはくれず、それを無理に動かそうとすれば骨や歯根を痛めてしまい、歯根吸収・歯肉退縮・歯槽骨吸収のリスクが高まってしまいます。
骨の厚み・形、歯根の形・位置・長さをCTで把握することによって、無理のある動かし方ではないかということを確認することが可能です。 埋伏歯(顎の骨の中に埋まったまま生えてこない永久歯)や歯科矯正用アンカースクリューの設置場所など、他にもCTは様々な治療に有効活用できます。
口腔内3DスキャナーiTero(アイテロ)
患者様により快適にインビザライン(マウスピース矯正装置)治療をご提供できるよう、当院では口腔内3DスキャナーiTero(アイテロ)を導入しております。
従来の歯型取りとの違い
従来までの歯型取りの場合、喉にシリコン材料が流れてしまうなどで嘔吐反射を起こすことがありました。また、材料が固まるまでに時間がかかるため、患者様がストレスを感じてしまうことも少なくありませんでした。
一方、口腔内3DスキャナーiTero(アイテロ)による歯型取りの場合は光を当ててスキャンするのみなので、歯型取りの際の嘔吐反射や不快感が起こりにくく、ストレスを生じにくくなりました。
また、シリコン材料を使った歯型取り以上に精確なマウスピース作製が可能となります。
iTero(アイテロ)の特徴
不快感がない
光を当てるだけでお口の中のデータをスキャンすることができるため、嘔吐反射の強い患者様も快適に歯型取りをすることが可能です。
治療期間短縮
スキャンした歯型のデータはその場で海外へ送信することができます。 そのため、マウスピース作製時間が短縮されより早く矯正治療をスタートさせることが可能です。
結果が術者に左右されない
撮影を行う術者の技量の違いによって結果に差が出ることがないため、常に精度の高いデータを取得することができます。
矯正診断用ソフト「ドルフィン」
当院では、診査・診断をより精度の高いものとするために様々なデジタル機器を活用して治療を行っていますが、ここではその一つである「ドルフィンシステム」についてご紹介していきたいと思います。 ドルフィンシステムでは、治療前の診断のために必要なお顔のデータ分析のほか、治療前・治療後の歯や歯の骨の変化を精確に分析することが可能です。 多くの矯正医は自らの経験と勘を頼りに診断を行い、治療法を決定しますが、これに特別な根拠がある訳ではありません。 ですが、どれほど多くの経験を積んできた矯正医だったとしても100%正しい診断であるという保証はどこにもないのです。 精密機器を駆使することで初めて、根拠に基づいた診断が可能になります。
年間151症例数以上のダイヤモンド・プロバイダー
インビザラインには、症例数に基づいて評価されるプロバイダー制度が設けられており、当院は2022年から3年連続で、年間150症例以上の治療実績を持つクリニックに贈られる「ダイヤモンド・プロバイダー」に選ばれています。この称号は、豊富な治療経験と確かな技術を証明するものです。
マウスピース矯正は、治療の精度や仕上がりにドクターの経験が大きく影響します。そのため、プロバイダー制度での評価は、信頼できる医院を選ぶ際の重要な判断材料となります。当院では、これまで培った数多くの症例実績をもとに、患者さん一人ひとりに最適な治療プランを提案し、美しい歯並びと快適なかみ合わせを実現しています。
ダイヤモンドプロバイダーとは?
インビザラインは患者様に提供したマウスピース矯正治療数に応じてランクが設定されます。当院は「ダイヤモンドプロバイダー」に認定されております。
ダイヤモンドプロバイダーは年間150症例以上で認定されるランクです。
「小田原」駅徒歩3分土日診療で通いやすい
当院は、「小田原」駅から徒歩3分という便利な立地に位置しており、どなたでも通いやすい環境を整えています。駅近のため、お仕事や学校帰りにも立ち寄りやすく、幅広い患者さんにご利用いただいています。
また、土日も診療を行っており、平日はお仕事や家事、学業などで忙しい方でも、無理なく通院いただける体制を整えています。特に、週末にゆっくりと治療を受けたいという患者さんからも大変好評です。なお、土日診療については休診となる場合もございますので、来院前に診療カレンダーをご確認いただくことをおすすめします。
患者さんが通いやすい環境を第一に考え、柔軟な診療体制を整えていますので、矯正治療やお口の健康に関するご相談はぜひお気軽にお問い合わせください。
徹底した衛生管理による院内感染予防

安全な矯正治療に欠かせない衛生設備
高圧蒸気滅菌器
診療器具に付着した、洗浄・消毒・殺菌では除去しきれないウイルスや菌を高圧蒸気による滅菌で完全に死滅させます。
ハンドピース洗浄・注油器
より効果的なハンドピースの滅菌を行うための専用の器械です。内部洗浄と注油というメンテナンスを行います。
口腔外バキューム
治療時に飛び散る目に見えないほど細かい粉塵や水を、口腔外バキュームによって強力に、素早く吸引し診療空間を常にクリーンな状態に保ちます。
安全で清潔な院内環境づくりに努めています
診療器具は滅菌状態のまま保管
診療器具はその都度洗浄、消毒、滅菌をしっかりと行い、その後で滅菌パックによって密封し、使用するまで清潔な場所で保管しています。
可能な限り使い捨て製品を使用
エプロン、コップ、グローブ、注射針など、滅菌することができない器具については使い捨ての製品を使用しています。
